Klinik Sonuçlarımız

Fited Skolyoz Korsesi Öncesi ve Sonrası Röntgen Görüntüleri

Sonuçlar; eğrilik tipi, büyüme durumu ve korse kullanımına uyum gibi faktörlere bağlı olarak kişiden kişiye değişebilir.
Toraks bölgesinde 43 derece açıyla eğri omurga gösteren röntgen görüntüsü.Göğüs ve omurga röntgeni, omurgada 19 derece eğrilik işaretiyle skolyoz gösteriyor.
Göğüs bölgesinde 14 derece eğrilik gösteren omurga röntgeni görüntüsü.Göğüs ve karın bölgesini içeren, omurgada 1 derece eğrilik gösteren frontal X-ışını görüntüsü.
Göğüs ve belde 42 derece eğriliği gösteren omurga röntgeni görüntüsü.Dorsal X-ray image showing spinal curvature with a 28-degree angle measurement indicating scoliosis.
Omurga eğriliğini ve 30 derece açıyı gösteren iskeletin göğüs-karın röntgeni.Göğüs ve karın bölgesinin iki farklı açıyla çekilmiş röntgen görüntüsü ve üzerinde 8 derece açı gösteren sarı işaret.
Toraks röntgen görüntüsünde 30 derecelik skolyoz eğriliği sarı açılarla ve beyaz çizgilerle işaretlenmiş.Göğüs ve bel bölgesini gösteren röntgen, omurga eğriliğinin 14 derece olduğunu belirtir.
Göğüs ve bel bölgesinde 20 derece eğimli skolyozu gösteren X-ışını omurga röntgeni.Göğüs ve karın bölgesinin röntgeni üzerinde, omurga eğriliğini vurgulayan 9 derece açıyla işaretlenmiş omurga escoliosis görüntüsü.
Toraks ve karın bölgesinin X-ray görüntüsü, omurga 18 derece lateral skolyoz ile hafif eğrilmiş.Göğüs bölgesini gösteren röntgen filmi, belde 7 derece eğrilik ölçümü ile omurga hizalarında metal işaretleyiciler.
Toraks bölgesinde 34 derece eğri omurga ve cerrahi implantların olduğu röntgen görüntüsü.X-ray image of a human torso showing the spine with surgical implants and a 14-degree curvature marked.
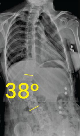
X-ray image of a human torso showing a 48-degree spinal curvature indicative of scoliosis.X-ray image of a spine showing scoliosis with a 38-degree curvature marked between two yellow lines.
Bel omurgasında 33 derecelik eğrilik gösteren skolyozlu insan göğüs ve karın röntgeni.Göğüs bölgesinde 17 derece eğiklik gösteren omurga röntgeni görüntüsü.
Torakal omurgada sağa doğru 18 derece eğriliği gösteren röntgen görüntüsü.Toraks röntgeninde orta çizgiye göre 11 derece eğimli omurga görünümü.
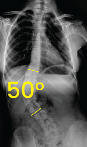
Göğüs ve bel omurgasını gösteren röntgen görüntüsü, omurga eğrilik açısı 50 derece olarak işaretlenmiş.Torakal omurga röntgeninde 38 derece skolyoz açısı ve omurgada metal vida yerleşimi.
Göğüs röntgeninde omurgada 38 derece skolyoz açısını gösteren sarı çizgiler ve 38° rakamı.Göğüs ve lomber omurgada 29 derece skolyoz eğrisi gösteren röntgen görüntüsü.
Omurga eğriliğini gösteren 55 derece açıyla skolyozlu gövde röntgeni.Göğüs bölgesinde 43 derece eğimli skolyozu gösteren omurga röntgeni görüntüsü.
Belirgin 51° ve 32° dereceleri ile işaretlenmiş, omurgada eğriliği gösteren toraks ve karın bölgesi röntgeni.Göğüs ve bel bölgesinde 39° ve 15° eğim açılarını gösteren omurga röntgeni.

Tedavi Sürecinizi Başlatın

Çocuğunuz için en ileri teknolojiyle üretilmiş, kişiye özel skolyoz korsesi hakkında bilgi almak için bizimle iletişime geçin.